방학역치과

방학역치과 심미성 회복을 위한 앞니 지르코니아 크라운

방학역치과 심미성 회복을 위한 앞니 지르코니아 크라운   앞니 심미성의 중요성   실제로 거울을 볼 때마다 특정 치아의 변색이나 색 차이 때문에 스트레스를 받는 분들도 적지 않습니다. 사진을 찍을 때 자연스럽게 웃지 못하거나 사람들과 이야기할 때 입을 가리는 습관이 생기기도 하는데요. 특히 기존 보철물이 오래되었거나 자연치와 색상이 조화를 이루지 못하는 더보기…

방학역치과

방학역치과 이갈이 원인, 방치하면 치아·턱관절까지 망가질 수 있습니다

방학역치과 이갈이 원인, 방치하면 치아·턱관절까지 망가질 수 있습니다 치료받으신 환자분께서 남겨주신 후기에요! ​ “아프지않고 치료 잘 해주셨어요. 친절하시고♡” ​ 소중한 시간 내서 후기를 남겨주셔서 감사드려요! 고객님의 후기를 보니, 치료 과정에서 불편함 없이 잘 진행된 것 같아 정말 기쁩니다. ​ 앞으로도 더욱 세심한 진료로 고객님을 맞이하겠습니다. 건강한 치아로 행복한 일만 가득하시길 더보기…

방학역치과

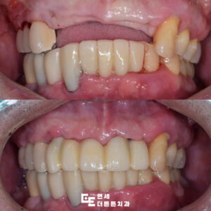
방학역치과 앞니 신경치료 후 크라운 수복

방학역치과 앞니 신경치료 후 크라운 수복   서론 : 치료에 관한 대락적인 설명 본론 : 치료 증례 케이스 설명 결론 : 이번 케이스로 알 수 있는 점 사람의 인상은 눈, 피부, 표정처럼 다양한 요소로 결정되지만 그중에서도 미소는 상대방에게 전달되는 첫인상에 큰 영향을 미치는 요소 중 하나입니다. 특히 앞니는 말을 하거나 더보기…

망월사역치과

망월사역치과 변색된 아래 앞니 브릿지 수복

망월사역치과 변색된 아래 앞니 브릿지 수복 치아는 음식물을 씹고 끊는 저작기능 외에도 외모에 중요한 영향을 미치며 특히 앞니는 잘 드러나기 때문에 색상이나 배열이 좋지 않으면 타인에게 부정적인 인상을 줄 수 있습니다. ​ 이에 따라 보철치료가 필요할 때가 있는데 이를 고려하기 전에는 반드시 확인해야 할 중요한 사항들이 몇 가지 있습니다. ​ 더보기…

도봉역치과

도봉역치과, 외상으로 인한 앞니 크라운 수복

도봉역치과, 외상으로 인한 앞니 크라운 수복   앞니는 입안에서도 가장 먼저 드러나는 부위라 외부 자극이나 충격을 받기 쉽고, 외관상의 변화는 물론 저작이나 발음에도 불편함이 생길 수 있어 빠른 확인이 필요합니다.   치아가 깨지거나 금이 가는 이유는 다양하지만 평소 치아에 과도한 힘을 주는 습관이나 예기치 못한 사고로 인한 충격이 주된 원인으로 더보기…

도봉역치과

도봉역치과, 심미성 회복을 위한 앞니 브릿지

도봉역치과, 심미성 회복을 위한 앞니 브릿지     나이가 들거나 사고를 겪은 경우, 또는 오래된 보철물을 교체하기 위해 치과를 찾는 분들이 점점 늘고 있습니다.   이제는 단순히 씹는 기능을 회복하는 것을 넘어서, 치아의 형태와 색감, 그리고 전체적인 미소까지 함께 고려하는 심미보철에 대한 관심이 높아지는 추세입니다.   특히 중장년층에서도 사진이나 영상 더보기…

방학역치과

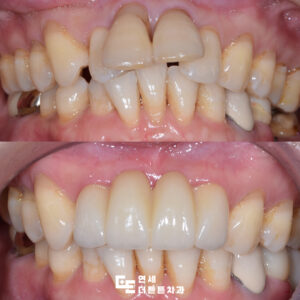
방학역치과 앞니 지르코니아 수복

방학역치과 앞니 지르코니아 수복 가지런하고 하얀 치아를 가진 사람들을 보면 참 인상이 좋아 보인다~ 고 생각하시는 분들이 많이 계실 텐데요. ​ 긍정적인 첫인상을 형성하는데 앞니는 중요한 역할을 하기 때문에 누렇거나 깨진 치아는 부정적인 인상을 줄 수 있어 심미적인 문제를 초래합니다. ​ ​ 특히 눈에 잘 띄는 앞니가 깨진 상태라면 신속한 더보기…

수락산역치과

수락산역치과 기존 크라운 제거 후 지르코니아 재수복

수락산역치과 기존 크라운 제거 후 지르코니아 재수복     치아 변색이나 손상, 형태 이상 등으로 인해 앞니의 심미성이 저하되는 경우가 늘어나면서 자연스럽고 조화로운 앞니를 완성하기 위해 심미 보철치료에 대한 관심이 높아지고 있는데요.   특히 앞니는 얼굴 중앙에 위치해 미소를 지을 때 가장 먼저 노출되는 부위로 치료 시 외형과 조화, 기능성까지 더보기…

도봉역치과

도봉역치과 벌어진 앞니 레진 수복

도봉역치과 벌어진 앞니 레진 수복 앞니 벌어짐이란 말 그대로 앞니 사이가 벌어져 공간이 생기는 것을 의미하며 의학적으로는 정중이개(Diastema) 라고도 부르는데요. ​ 앞니가 벌어지면 발음이 새거나 음식물과 침이 튀는 등 불편함이 생길 수 있고 무엇보다 심미적으로 좋지 않다는 인식 때문에 오랜 기간 콤플렉스를 겪다가 치료를 위해 치과에 내원하기도 합니다. ​ 도봉역치과 더보기…

방학역치과

방학역치과 앞니 충치로 인한 지르코니아 크라운 수복

방학역치과 앞니 충치로 인한 지르코니아 크라운 수복   앞니는 사람의 인상과 직결되는 부위로, 작은 변화에도 전체적인 이미지에 큰 영향을 줄 수 있습니다. 특히 웃거나 말할 때 가장 먼저 드러나는 부위이기 때문에 건강한 상태를 유지하는 것이 중요합니다. 그러나 앞니에 충치가 발생한 경우 기능적인 문제뿐만 아니라 심미적인 고민까지 함께 동반되는 경우가 많습니다. 더보기…

문의 전화

02-954-2080

네이버 예약

네이버 예약