방학역치과 구강 내 기능 회복을 위한 다수 임플란트 식립
치아는 단순히 음식을 씹는 기능을 넘어 발음, 심미, 그리고 전반적인 구강 건강에 중요한 역할을 합니다. 하지만 충치나 잇몸질환이 장기간 방치되거나, 치아가 상실된 상태가 지속되면 구강 내 균형이 무너지면서 여러 가지 문제가 동시에 발생할 수 있습니다. 특히 여러 치아가 동시에 손상되거나 결손된 경우에는 단순한 보철 치료만으로 해결하기 어려워 전반적인 구강 상태를 고려한 종합적인 치료 계획이 필요한데요.
이러한 상황에서는 단순히 눈에 보이는 문제만 해결하는 것이 아니라, 치아를 지지하는 잇몸과 뼈의 상태, 교합 관계, 그리고 장기적인 안정성까지 함께 고려해야 합니다. 또한 치아가 상실된 상태가 오래 지속될수록 주변 치아의 이동이나 교합의 붕괴가 발생할 수 있으며, 이는 턱관절에도 영향을 줄 수 있어 보다 정밀한 진단이 중요합니다. 기능 회복뿐 아니라 심미적인 부분까지 함께 고려하여 치료 방향을 설정하는 것이 중요하며 환자의 생활 습관과 관리 능력까지 반영한 맞춤 치료가 이루어져야 안정적인 결과를 기대할 수 있습니다.
특히 복합적인 치료가 필요한 경우에는 방학역치과에서 단계별 접근을 통해 구강 환경을 점진적으로 개선해 나가는 과정이 중요하며 이를 통해 보다 예측 가능한 치료 결과를 얻을 수 있습니다.

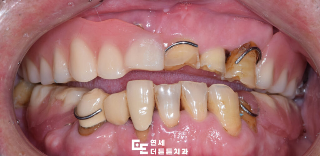
환자분께서는 구강 내 어금니 부위를 거의 상실하신 채로, 남아 있는 치아들도 부러져 제 기능을 하지 못해 치료 상담을 위해 방학역치과에 내원해 주셨습니다.
다수의 치아가 손상되거나 상실된 상태로 내원하였으며, 잔존 치아 또한 심한 우식과 변색, 구조적 약화가 동반된 상태였으므로 일부 치아는 보존이 어려운 상태였기 때문에 발치를 진행하였고, 남아 있는 치아 중 사용 가능한 치아는 신경치료 및 보강을 통해 최대한 활용하는 방향으로 치료를 계획하였습니다.


먼저 예후가 좋지 않은 치아들을 발치하고 결손 부위에는 임플란트를 식립하여 기능적인 지지 기반을 형성하였으며 최종 보철물이 들어가기 전 기간동안 사용하실 수 있는 임시틀니를 제작해 드렸습니다. 임플란트가 뼈에 제대로 붙기까지는 시간이 필요하며, 일반적으로 상악은 약 6개월, 하악은 약 4개월이 소요되어 그 기간동안 사용하시며, 최종 보철물에 대한 전반적인 상담도 충분히 진행할 수 있도록 하였습니다.

이후 기존 치아와의 조화를 고려하여 보철 치료를 진행하였습니다. 치료 과정에서는 단순히 치아를 대체하는 것에 그치지 않고, 교합의 균형과 저작 기능 회복, 그리고 자연스러운 외관까지 함께 고려하였습니다. 특히 전치부의 경우 심미적인 요소가 중요한 부위이기 때문에 치아의 형태와 색상, 배열을 세밀하게 조정하여 전체적인 인상이 자연스럽게 개선될 수 있도록 하였습니다.
또한 잇몸 상태 역시 치료 결과에 큰 영향을 미치기 때문에 염증 관리와 위생 상태 개선을 병행하면서 치료를 진행하였습니다. 단계별 치료를 통해 점진적으로 구강 환경을 안정화시키고 최종적으로 기능과 심미를 모두 만족할 수 있는 상태로 마무리하였습니다.

다수 치아의 손상과 상실이 동반된 경우에는 단편적인 치료보다는 전체적인 구강 구조를 고려한 통합적인 접근이 필요합니다. 임플란트와 보철 치료, 그리고 잔존 치아의 보존 치료를 적절히 병행한다면 기능 회복은 물론 심미적인 개선까지 기대할 수 있습니다. 특히 개별 치아만을 기준으로 치료를 진행하기보다는 전체적인 교합과 균형을 함께 고려해야 보다 안정적인 결과를 얻을 수 있으며, 이는 장기적인 유지에도 중요한 요소로 작용합니다. 또한 치료 과정에서 잇몸 상태와 구강 위생 관리가 함께 이루어져야 최종적인 결과의 완성도를 높일 수 있습니다. 염증이 지속되거나 관리가 소홀해질 경우, 치료 결과의 유지 기간이 짧아질 수 있기 때문에 초기 치료뿐 아니라 이후의 관리 또한 매우 중요합니다.
무엇보다 중요한 것은 치료 이후의 유지 관리로 아무리 정밀하게 치료가 이루어졌더라도 구강 위생 관리가 제대로 이루어지지 않으면 동일한 문제가 반복될 수 있기 때문에 방학역치과의 정기적인 검진과 꾸준한 관리가 필수적입니다. 올바른 칫솔질과 보조 구강 위생용품의 사용, 그리고 주기적인 스케일링을 통해 건강한 상태를 유지하는 것이 필요합니다. 체계적인 치료와 올바른 관리가 함께 이루어질 때 오랜 기간 안정적인 구강 상태를 유지할 수 있으며, 기능적·심미적으로 만족스러운 결과를 지속적으로 유지할 수 있습니다.
방학역치과 연세더튼튼치과는 평일 매일 9시까지 야간진료 하며, 토요일과 일요일에도 진료하고 있습니다. 감사합니다!^^
*모든 증례 사진은 의료법 제23조, 제 56조에 의거하여 환자분의 동의 하에 업로드가 진행되었습니다.
*치료 사진은 모두 본원에서 치료한 환자분의 사진입니다.
*치료 사진은 모두 동일인의 사진이며, 동일조건에서 촬영하였습니다.
*개인의 차이에 따라 시술 및 수술 후 부작용이 발생할 수 있으며, 의료진과 충분한 상담을 받으시기 바랍니다.