도봉동치과 오른쪽 아래 어금니 임플란트 식립
어금니는 저작 기능의 핵심을 담당하는
치아로 특히 강한 저작력을 필요로 합니다.
구강 가장 안쪽에 위치하고 있어
관리에 소홀해지기 쉬운 부위이기도 하며
칫솔이 잘 닿지 않아 꼼꼼하게 닦아내지 못해
충치나 각종 치주 질환에 노출되기 쉬운데요.
이러한 질환들이 진행되어 어금니가 상실되었다면
해결하는 방법으로 임플란트를 추천드립니다.
이는 치과 치료 중에서도 저작력 회복이 뛰어난
방법으로 색과 모양이 자연치와 비슷해
심미성과 기능을 회복하는데 적절한 치료가 될 수 있습니다.
특히 어금니의 경우 입을 벌렸을 때
바로 보이는 앞니와 달리 치아가 거의 노출되지
않기 때문에 치아의 기능 회복에 초점을 맞춰야 합니다.
그렇다면 오늘은 오른쪽 아래 어금니
임플란트 식립을 진행하신 환자분의 케이스를
통해 더욱 자세히 설명드려 보겠습니다!

환자분은 60대 남성분으로
오른쪽 아래 임플란트 식립을
희망하셔서 내원해 주셨습니다.
오른쪽 아래 어금니는 상실하신 지
오래되어 식립에는 크게 문제가 없었지만
기존에 앓고 계신 전신질환으로 인해
주의가 필요했습니다.

기존에 이미 사랑니와 어금니를
발치하신 이력이 있었고
우선적으로 임플란트 식립만을 희망하여
수술 및 보철 계획을 수립하였습니다.

먼저, 처음 내원 당시 채득한
환자분의 바이트를 참고하여
진단 모델을 제작한 후
CT 촬영을 통해 가상 모의 수술을
진행하여 수술용 스텐트를 제작하였습니다.
3차원 디지털 장비를 활용하면
정밀 검진부터 맞춤 치료 계획까지
수월하게 진행할 수 있습니다.
도봉동치과 연세더튼튼에서는
정밀하고 안정적인 식립을 위해서는
CT 촬영 결과를 바탕으로 컴퓨터 상에서
진단이나 계획을 세워 진행하고 있습니다.

이후, 국소 마취를 진행하여
미리 제작한 스텐트를 이용해
계획된 위치에 임플란트 식립을 진행하였습니다.
어금니는 신경과 매우 가까운 부위에
위치하고 있어 섬세한 기술력이 중요합니다.
자칫, 신경을 손상시켜 감각마비나
다른 부작용이 나타날 수 있으므로
풍부한 임상경험과 검증된 실력, 노하우를 가진
의료진이 상주하고 있는 치과를 선택하는 것이 좋습니다.

수술 후 4개월 뒤 최종 인상을 채득하였고
환자분의 구치부 교합 안정성을 위해
임시치아를 제작하여 4주간 사용하실 수
있도록 하였습니다.
4주간의 임시치아 사용 후
맞춤형 지대주를 연결하여
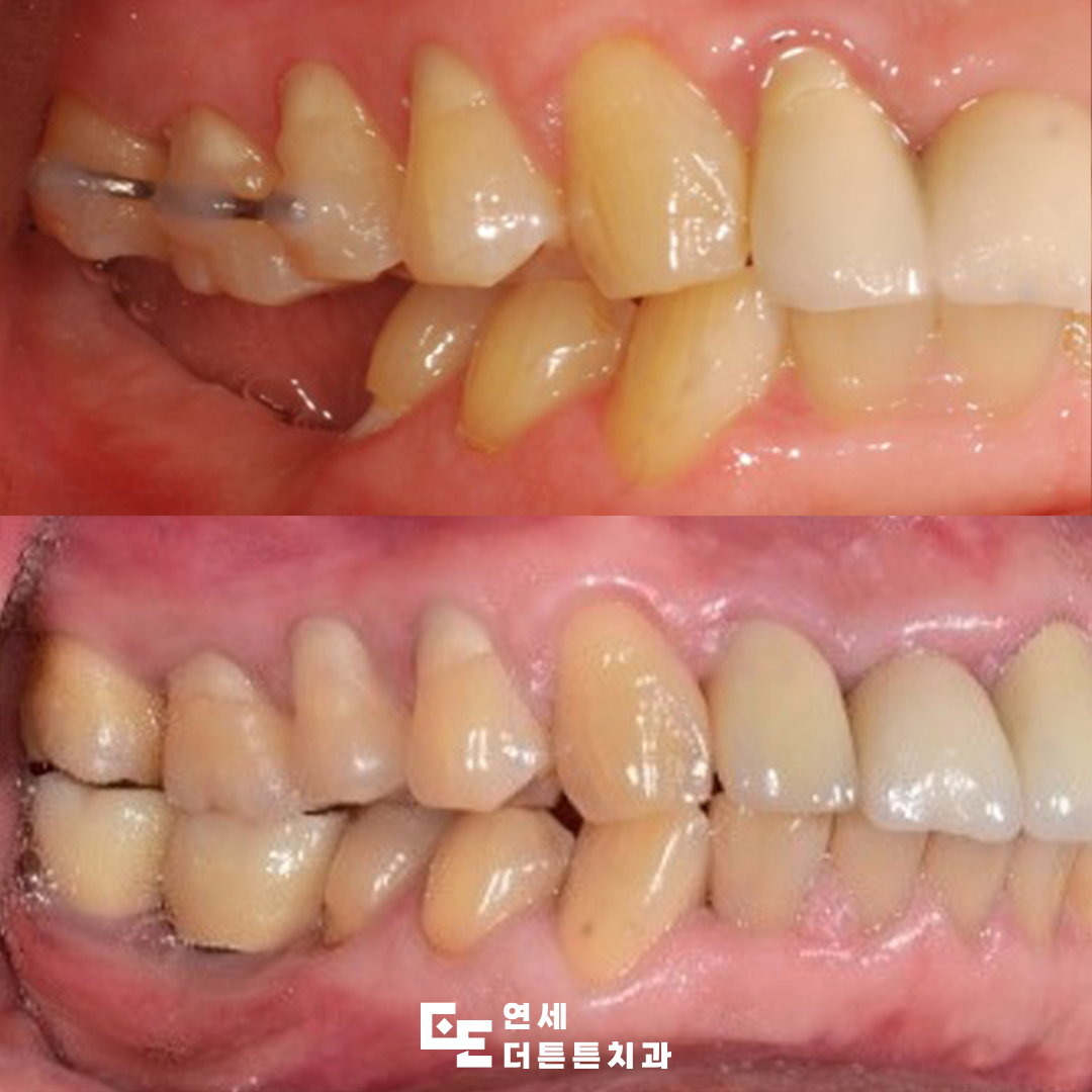
최종 지르코니아 크라운을 장착하고
교합 조정을 시행하여 주었습니다.
구강 내에서 보철물의 상태를
다시 한번 확인하고 정기적인 검진
약속을 잡아드렸으며
구강 위생 관리를 위한 치간 칫솔 및
치실 사용을 권장 드렸습니다.

환자분께서는 보철물의 형태와 색상에
만족감을 표시하셨으며 저작 기능도
편하시다고 하였습니다.
더불어 6개월 검진 시에도 주변 골 소실 없이
양호한 상태가 유지되고 있었습니다.
어금니는 당장 눈에 보이지 않아
손상이나 상실 시 즉시 대처하지 않고
방치하는 경우도 흔한 편입니다.
그래서 빈 공간으로 주변 치아들이
밀려 내려와 임플란트를 식립할 공간이
충분하지 못하거나 잇몸뼈가 흡수된 경우도
적지 않으므로 이와 같은 경우 뼈이식이 선행된 뒤
진행돼야 하므로 진단 단계에서 면밀히 파악하는 것이 중요합니다.
의사의 감과 경험에만 의존하는 것이 아닌,
오랜 기간 튼튼하게 만족스러운 결과를
원하신다면 도봉동치과 추천 드립니다!
감사합니다.^^
*모든 증례 사진은 의료법 제23조, 제56조에 의거하여 환자분의 동의하에 업로드가 진행되었습니다.
*치료 사진은 모두 본원에서 치료한 환자분의 사진입니다.
*치료 사진은 모두 동일인의 사진이며, 동일 조건에서 촬영하였습니다.
*개인의 차이에 따라 시술 및 수술 후 부작용이 발생할 수 있으며, 의료진과 충분한 상담을 받으시기 바랍니다.
도봉동치과 기존 치아 보철을 제거하고 지르코니아 크라운으로 교체