도봉동치과 앞니 크라운과 틀니로 기능 및 심미 회복
우리는 연령이 증가함에 따라
여러 가지 원인으로 상실되는 치아의 개수도
점점 증가하게 됩니다.
임플란트가 일반화된 이후에는 자연치와 유사한
정도의 기능으로 회복시키는 것이 가능해졌지만
치조골의 상태가 임플란트를 식립하기에
적절하지 못한 경우에는 부분 틀니를 이용한
치료 방법이 고려되기도 합니다.
이는 틀니를 걸어주는 치아인 지대치와 잇몸에서
지지를 얻고 지대치에 걸어주는 고리를 통하여
유지력을 얻게 되는데요.
잇몸에서 지지를 얻고 틀니 내면과 잇몸 사이의
음압에 의해서만 유지되는 완전 틀니에 비하여
잘 빠지지 않고 저작력 또한 우수하여
환자분이 느끼는 불편감은 훨씬 덜할 수 있습니다.
그렇다면 앞서 설명드렸던 내용을
오늘은 환자분의 케이스를 통해
더욱 자세히 설명드려보려고 합니다!

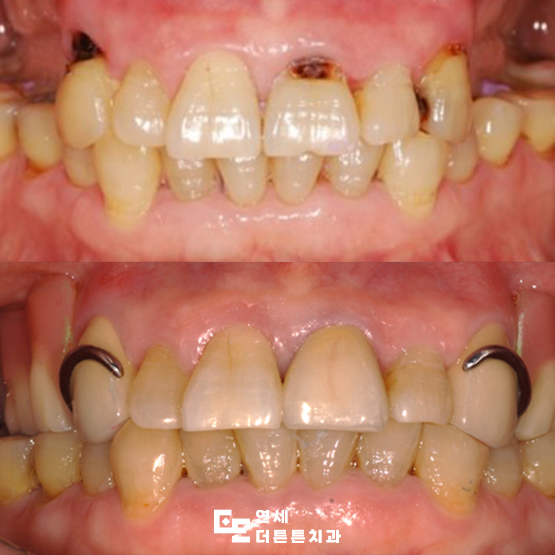
환자분은 70대 여성분으로
기존에 사용하시던 틀니의 불편감과
앞니의 통증으로 인해 내원해 주셨는데요.
눈으로 보기에도 치아의 목부분인
치경부에 심한 우식이 관찰되었습니다.

좀 더 정밀한 진단을 위해
구강 검사 및 방사선 분석을 통해
우식과 치근 비율을 확인해 보았습니다.
빨간색으로 표시한 부분이
심하게 진행된 충치인데요.

여러 가지 치료 계획을 환자분께
충분히 설명드린 후,
기존 틀니의 불안정성을 해소하고
장기적인 예후 개선을 위해
충치를 제거하고 크라운으로 수복한 후
지대치로 선정하여 어금니 부분 틀니를
새로 제작할 수 있도록 계획을 수립하였습니다.
틀니를 제작하기 전에는
예후가 좋지 않을 것으로 예상되는 치아는
발치해야 하고, 충치가 있거나 경조직이 많이
손상된 치아는 온전한 형태로 회복시켜주어야 하며
치주적인 문제가 있다면 치주치료가
우선적으로 시행되어야 합니다.
자연치의 원래 형태를 그대로 유지하면서
필요 부위 형태만 수정하여 지대치로 사용되는
경우도 있지만 치아의 위치나 형태가
유지 장치를 걸어주기에 적절한 형태가 아닌 경우
지대치는 크라운으로 수복해 주어야 합니다.

먼저 크라운 수복 후 사진입니다.
크라운 수복을 진행하는 과정 중
임시 치아를 통해 기존의 수직 고경을
유지할 수 있도록 하여
환자분의 불편함을 줄여드릴 수
있도록 하였는데요.

어금니 부위에 들어가는 틀니는
입천장 부분을 메탈 소재로 제작하여
앞니 지대치의 유지력을 강화할 수 있도록
제작하였습니다.
부분 틀니를 장착하기까지 진료실에서는
여러 단계의 복잡한 과정을 거치게 되는데요.
첫 단추를 잘못 잠근 옷을 제대로
입을 수 없듯이, 잘못된 치료 계획에서
시작된 치료는 좋은 결과를 가져올 수 없습니다.

치료 완료 후의 모습입니다.
어금니의 지지 확보를 통한
앞니의 배열 관계까지 정상화하였습니다.

환자분께서도 심미적으로도
기능적 만족도 매우 높으셨는데요.
하지만 새로운 틀니를 장착하게 되면
볼이 씹히거나 발음이 어색해질 수 있어
장착 후 장기적인 유지를 위해서
몇 번의 조정이 필요함을 설명드리고
잘 적응하실 수 있도록 도와드렸습니다.

편안하게 잘 사용할 수 있는 틀니의 제작을
위해서는 잔존치와 무치악 부위의 상태를
고려한 도봉동치과의 명확한 진단과
적절한 치료 계획이 필수적이며
전문적인 제작 과정을 거쳐야만
완성도 높은 치료 결과를 기대할 수 있습니다.
더불어 전문적이고 면밀한 계획을 통해
진행된 치료 후에는 청결한 관리와
주기적인 검진이 함께 이루어진다면
편안하게 오래 사용할 수 있을 것입니다.
도봉동치과 연세더튼튼치과에서는
풍부한 임상경험과 높은 숙련도를 갖추고 계신
대표 원장님께서 치료 계획의 수립부터 사후관리까지
꼼꼼하게 진행하고 계십니다.
환자분 한 분, 한 분께 정성을 다하는
진료로 보답하겠습니다.
감사합니다!^^
*모든 증례 사진은 의료법 제23조, 제56조에 의거하여 환자분의 동의하에 업로드가 진행되었습니다.
*치료 사진은 모두 본원에서 치료한 환자분의 사진입니다.
*치료 사진은 모두 동일인의 사진이며, 동일 조건에서 촬영하였습니다.
*개인의 차이에 따라 시술 및 수술 후 부작용이 발생할 수 있으며, 의료진과 충분한 상담을 받으시기 바랍니다.
