도봉구치과 부러진 앞니 발치 후 브릿지 수복
가지런한 앞니는 상대방에게
호감을 주는 데 큰 영향을 미치게 되는데요.
물론 외모만이 전부는 아니지만
보기 좋은 떡이 먹기도 좋다는 말처럼
반듯한 치아가 주는 긍정적인 이미지는
간과할 수 없습니다.
그렇다면 앞니가 심하게 손상된다면
어떤 영향을 미칠까요?
신경 손상이 없다면 큰 통증이 없을 수도 있지만
깨진 치아로 인해 미소가 어색해지고
첫인상에 부정적인 영향을 줄 가능성이 크며
형태가 고르지 않다면 단정한 이미지 전달이
어려워질 수밖에 없습니다.
특히 단단한 음식을 먹을 때 시큰거리거나
전기가 오는 듯한 통증이 느껴진다면
신경 치료가 필요할 수 있고 이를 방치하면
균열이 점점 악화되어 결국 치아를 뽑아야 하는
상황까지 이어질 위험이 있습니다.
따라서서 손상의 정도와 신경이 영향을
받았는지에 따라 적절한 도봉구치과 앞니치료 방법을
선택해야 하는 것이 가장 중요합니다.
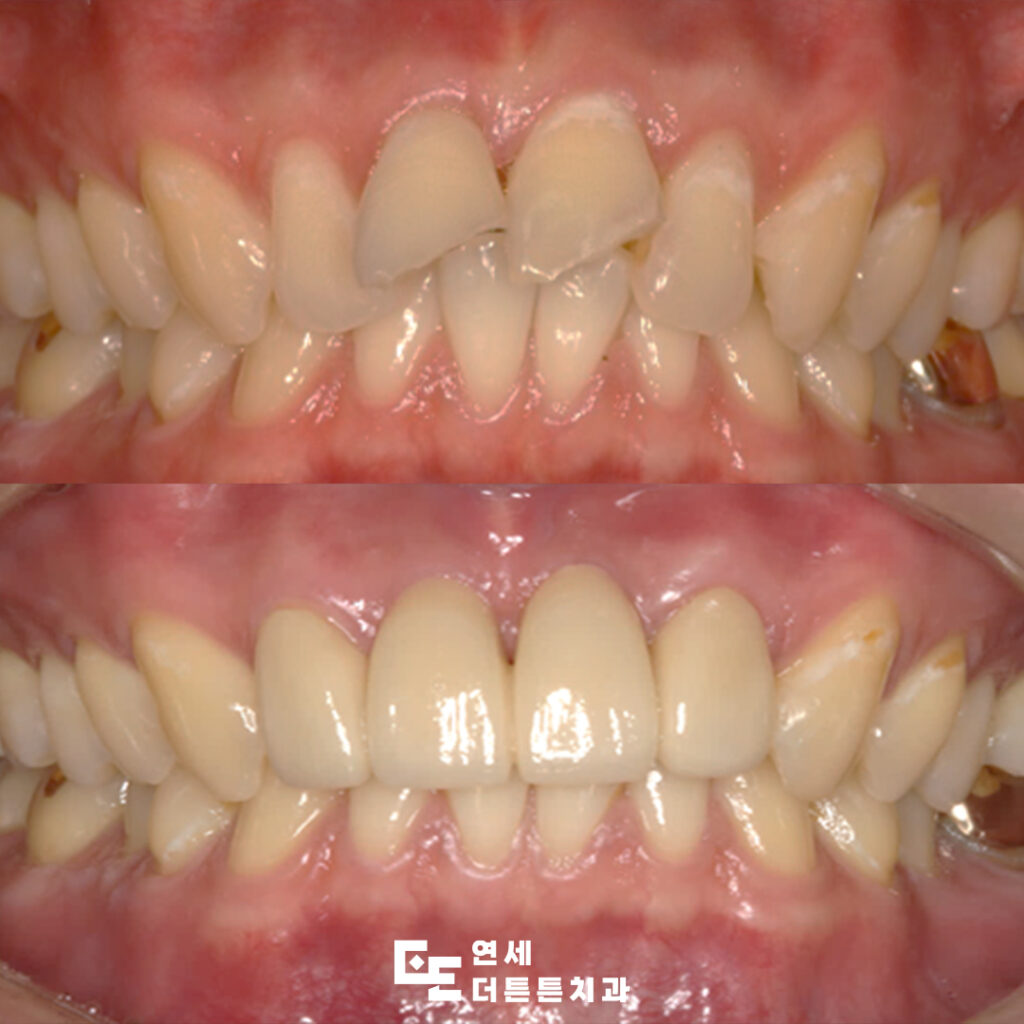
오늘은 외상으로 인해 깨진 앞니를
발치한 후 양쪽 치아를 걸어 브릿지로
수복하신 환자분의 케이스를 소개해 드리려고 합니다.

환자분은 20대 남성분으로
도로에서 넘어지면서 앞니에 외상을 입어
내원해 주셨습니다.

내원 당시 구내 사진과
x-ray 사진을 통해 진단해 본 결과,
가장 오른쪽의 앞니는 뿌리까지 부러져
있음을 확인할 수 있었으므로
발치를 결정할 수밖에 없었는데요.
깨진 범위가 작다면 레진이나 라미네이트
치료만으로 충분히 개선될 수 있고
범위가 크고 신경 손상이 동반된 경우라면
크라운 수복을 고려해 볼 수 있으나
환자분과 같이, 뿌리 끝까지 파절이 발생한 경우
치료 예후가 좋지 않아 불가피하게
발치를 진행해야 합니다.

옆여 있는 치아들도 충격을 받아
신경치료가 필요한 부위는 진행을
하기로 하였습니다.
전반적으로 6개의 앞니 모두
예후가 좋지 않음을 고려하여
장기적으로 계획을 수립하였습니다.

다양한 도봉구치과 앞니치료 방법들을 설명드린 뒤,
환자분은 가장 앞쪽 치아 두 개를 발치하고
양쪽 옆의 치아를 일부분 삭제하여
걸어 사용하는 브릿지로 수복하시기를 희망하셔서
진행하기로 하였습니다.
브릿지는 쉽게 말해, 여러 개의 크라운을
다리 모양으로 연결해 놓은 방법인데요.
치아 모양을 본떠 씌우는 보철물로
치수까지 손상된 경우에도 많이 적용되며
그중 심미성이 강한 앞니의 경우에는
지르코니아나 세라믹 같은 심미적인 재료들이
선호 받고 있습니다.

앞니 두 개 발치 후 임시치아를 사용하면서
충분히 경과를 지켜본 뒤 최종 보철물을
시행하여 마무리하였습니다.
앞니가 부러졌을 때에 가장 중요한 것은
개인의 상태에 대한 명확한 진단을 통한
적절한 치료를 받아야 한다는 것인데요.
이를 위해서는 지나치게 저렴한 비용이나
짧은 치료 기간만을 추구하기 보다,
전문성을 갖추고 있는 의료진의 진단을 받아
체계적인 치료를 진행해야 합니다.

환자분께서는 돌출된 윗입술이
개선된 것 같으시다며,
심미적으로도 예뻐서 매우 만족하셨고
기능적으로도 불편함 없이 아랫니와
올바르게 교합될 수 있도록 조정해 드렸습니다.
하지만 외상으로 인한 치료이므로
예후를 장기적으로 관찰할 필요가 있어
정기적인 검진 내원을 설명드렸습니다.
앞니의 치료 시 가장 중요한 것은
환자분의 나이와 깨진 정도, 색상 등
전반적인 사항을 고려해 주변치와
가장 조화롭게 만드는 것이 관건입니다.
따라서 다양한 도봉구치과 앞니치료에 앞서
불필요한 발치 없이 필요한 시술만으로
만족스러운 결과를 얻기 위해서는
반드시 정밀 검사를 통해 명확한 진단을 받아야 합니다.
한 분, 한 분께 정성을 다하여 진료하겠습니다.
감사합니다!^^
*모든 증례 사진은 의료법 제23조, 제56조에 의거하여 환자분의 동의하에 업로드가 진행되었습니다.
*치료 사진은 모두 본원에서 치료한 환자분의 사진입니다.
*치료 사진은 모두 동일인의 사진이며, 동일 조건에서 촬영하였습니다.
*개인의 차이에 따라 시술 및 수술 후 부작용이 발생할 수 있으며, 의료진과 충분한 상담을 받으시기 바랍니다.
도봉동치과 기존 치아 보철을 제거하고 지르코니아 크라운으로 교체